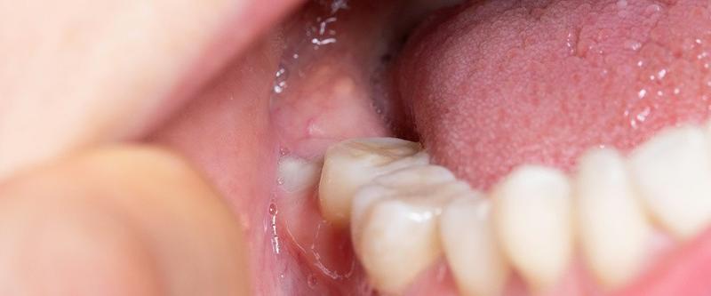
Ósemki, znane również jako zęby mądrości, to trzonowce, które często potrafią spędzić sen z powiek wielu dorosłym. Zazwyczaj ich pojawienie się następuje w momencie, gdy zaczynamy odczuwać, że „coś” z nami jest nie w porządku. Gdy stają się widoczne, ból staje się nieodłącznym towarzyszem. Co sprawia, że te zęby są tak kapryśne? W istocie wszystko sprowadza się do ich anatomii i liczby kanałów, które mogą wynosić od 1 do 5! Oprócz tego, zęby te mają różne ilości korzeni. A zatem, ręce do góry, kto miał przyjemność zobaczyć swoje zdjęcie rentgenowskie i zareagować słowami: „A to co za potwór?”
Warto zauważyć, że zęby mądrości, podobnie jak ich właściciele, wykazują pewne skomplikowanie. Górne ósemki mogą mieć między jednym a czterema kanałami, podczas gdy dolne nawet od dwóch do pięciu! Co to oznacza w praktyce? Im więcej kanałów, tym więcej problemów w momencie, gdy przyjdzie czas na leczenie kanałowe. Niech nikt nie uważa, że to takie hop-siup, ponieważ niezwykle kręte kanały stanowią wyzwanie nawet dla najbardziej doświadczonych stomatologów. Dlatego, gdy usłyszysz o „leczeniu kanałowym”, pamiętaj, że nadszedł czas na solidne zacieśnienie pasa, zarówno finansowo, jak i psychicznie.
Zęby mądrości: Prawda i mity

Ciekawe, jak ósemki przypominają ciotki na rodzinnych zjazdach – wszyscy się ich boją, pragnąc ich unikać, jednak wciąż pojawiają się w naszych życiach. Jaką rolę odgrywają w jamie ustnej? Czasami wydaje się, że są reliktem przeszłości, ponieważ w dzisiejszych czasach, gdy mamy łatwy dostęp do bardziej miękkich pokarmów, ich funkcjonalność staje się wątpliwa. Dodatkowo zarządzanie ich licznymi kanałami oraz zakrzywionymi korzeniami często kończy się zabiegiem u chirurga. Co więcej, niektóre ósemki w ogóle nie wyrzynają się, przez co ich obecność w jamie ustnej pozostaje tajemnicą. W wielu przypadkach najlepiej usunąć je, zanim dadzą o sobie znać w nieprzyjemny sposób.
Na zakończenie warto podkreślić, że każdy ząb jest inny, a każdy pacjent ma swoje unikalne potrzeby. Dlatego nie zrażaj się, gdy Twoje ósemki wydają się krzywe, a współpraca z nimi rzadko kończy się sukcesem. Obserwuj je, bądź w kontakcie ze swoim dentystą i pamiętaj, że liczba kanałów w ósemkach, podobnie jak liczba ukochanych, oznacza, że im więcej ich, tym bardziej skomplikowane stają się relacje. Jednak kto wie, może Twoje ósemki zaskoczą Cię i zamiast wizyty u chirurga zaproszą Cię na małą ucztę! Oczywiście, w rzeczywistości może to nie być aż tak romantyczne, ale z pewnością mniej bolesne.
| Rodzaj ósemki | Zakres liczby kanałów | Korzenie |
|---|---|---|
| Górne ósemki | 1 – 4 | Różna liczba |
| Dolne ósemki | 2 – 5 | Różna liczba |
Ciekawostką jest, że u niektórych osób zęby mądrości mogą w ogóle się nie wykształcić, co oznacza, że mogą nigdy nie zakłócić ich życia. Szacuje się, że nawet 35% ludzi rodzi się bez przynajmniej jednej ósemki!
Wpływ genetyki na kształt i budowę zębów ósemek
Genetyka to naprawdę potężna siła, która wpływa na wiele aspektów naszego życia, od koloru włosów aż po kształt zębów, zwłaszcza ósemek, znanych również jako zęby mądrości. Te ostatnie zęby trzonowe zwykle pojawiają się w okresie, gdy zaczynamy odkrywać naszą „mądrość życiową”, czyli zazwyczaj w młodzieńczej fazie życia. Często wybuchają w niezwykle nieodpowiednich momentach, takich jak ważna impreza czy podczas spożywania ulubionego burgera. Ale jak to możliwe, że te zęby pojawiają się akurat w tym dziwnym czasie? Odpowiedź kryje się w naszych genach!
Różnorodność w budowie

Ósemki mogą różnić się liczbą korzeni – od jednego do czterech w górnej szczęce oraz od dwóch do pięciu w dolnej. Wyobraźcie sobie, jakie emocje towarzyszą wam, gdy wspólnie z przyjaciółmi osiągacie rekordową liczbę korzeni – to trochę jak gra w pokera, ale zamiast „fulla” dostajecie „komplet ósemek”! To właśnie geny mają decydujący wpływ na tę indywidualną budowę. Jeśli więc zauważacie, że wasze ósemki zorganizowały sobie dyskotekę w jamie ustnej, to może rodzice podarowali wam ten wyjątkowy zestaw genów, przez które zęby nie chcą współpracować.
Trudności w usunięciu

Ósemki często rosną w nieregularny sposób, co prowadzi do bólu i różnorodnych problemów zdrowotnych. Ich korzenie są często zakrzywione, co sprawia, że nie tylko wyrastają w niewłaściwym kierunku, ale również trudniej je usunąć. Wyobraźcie sobie, że waszym zębom trudno jest wydostać się, jakby znajdowały się w filmowej akcji, gdzie bose stopy stają na niebezpiecznych pułapkach. W takiej sytuacji nadzieja spoczywa w rękach stomatologa, który posiada zestaw narzędzi chirurgicznych oraz odrobinę odwagi. Tutaj genetyka odpowiada za to, jak wygląda ta bujna dżungla w waszej jamie ustnej!
Kiedy rozważamy usuwanie ósemek, warto pamiętać, że każdy przypadek ma swoje unikalne cechy. Niektóre zęby mądrości przypominają dobre wina – potrzebują czasu i cierpliwości, aby zrozumieć, co się dzieje w ich wnętrzu. Może zająć latami, aby się w pełni wykształciły i wprowadziły do naszego życia. Jednak dla wielu z nas nadmiar ósemek staje się powodem zmartwień, związanych z bólami zębów i infekcjami. Genetyka to potężny gracz w tej grze – nawet jeśli witaminy mogą poprawić wygląd, w przypadku ósemek wiele z nas będzie musiało bardziej polegać na swoich kumplach, czyli dentystach!
Poniżej znajduje się kilka ważnych informacji o cechach ósemek:
- Ósemki mogą mieć różną liczbę korzeni.
- Również ich kształt oraz sposób wyrastania jest zróżnicowany.
- Wiele osób doświadcza problemów zdrowotnych z nimi związanych.
- Usunięcie ósemek bywa skomplikowane ze względu na ich położenie.
Problemy stomatologiczne związane z zębami ósemkami: Ile kanałów to za dużo?
Ósemki, znane jako zęby mądrości, często wyrastają w momencie, gdy młodzież zmaga się z kryzysem wieku dorosłego – między myślami „czemu ja się tak uczę?” a „jak to się stało, że moja szczęka tak boli?”. Oprócz tego, że są ostatnimi zębami trzonowymi w jamie ustnej, śmiało można powiedzieć, że stają się największym źródłem uśmiechu w gabinetach stomatologicznych. W ich obecności nieraz konieczne okazuje się przeprowadzenie zabiegów, które przypominają bardziej misterne akrobacje niż proste procedury medyczne. Czym różni się zatem ósemka od innych zębów? Ich anatomiczna budowa doskonale oddaje labirynt, który z kolei potrafi zafundować dentystom niejedno rozczarowanie z powodu nieprzewidzianych zwrotów akcji.
Nierzadko można zauważyć, że ósemki są tak kręte i skomplikowane, iż leczenie kanałowe przypomina wyjmowanie gumy balonowej z ucha. Leczenie kanałowe ósemek to prawdziwy sprawdzian umiejętności dla stomatologów, ponieważ ich liczba kanałów potrafi zaskoczyć nawet tych najbardziej doświadczonych. Taki ząb często posiada różną liczbę korzeni oraz kanałów, co czasem wprowadza prawdziwy chaos w gabinecie. Powiada się, że liczbę kanałów można przyrównać do zamieszania na parkingu w centrum handlowym – im więcej miejsc, tym trudniej zaparkować. Dlatego obok samego odczuwania bólu warto również zastanowić się nad udanym zakończeniem, a czasem najrozsądniejszym wyjściem wydaje się być po prostu usunięcie ósemki.
Ósemki: Medyczne wyzwanie z uśmiechem

Nie można ukryć, że proces wyrastania ósemek już na samym początku potrafi sprowadzić nas w wir bólu. To nie jest tylko zwykły taniec szaleńca – taki ból potrafi zafundować nam nieprzespane noce z bólem szczęki czy zaciśniętymi zębami. Czasami ósemki blokują się nawzajem w walce o przestrzeń, co z kolei prowadzi do zapaleń, infekcji i konieczności zwołania pomocy lekarza. Jeżeli masz szczęście i twoje ósemki wyrastają bezboleśnie, to gratulacje! Bycie w tej grupie to praktycznie wygrana na loterii, niestety sytuacja oferuje mniejsze szanse niż fortuna na试玩.

Warto mieć na uwadze, że decyzja o usunięciu ósemek czy o przeprowadzeniu leczenia kanałowego powinna być dokładnie przemyślana. Często lekarze dążą do minimalizacji ryzyka powikłań, dlatego decydują się na usunięcie zęba, który zasadniczo i tak nie wnosi wiele do tematu morsowania w morzu pokarmów. Prawda jest taka, że te małe, a może nawet potężne zęby mądrości, potrafią sprawić więcej kłopotów, niż samo wniesienie czegokolwiek do naszego życia. W końcu, na co komu mądrość, która kłuje w policzek? Dlatego warto podejść do tematu na luzie i z humorem, a przede wszystkim – regularnie odwiedzać dentystę, aby nie dać ósemkom szans na zbuntowanie się!
Porównanie zębów ósemek u różnych grup etnicznych i ich struktura
Zęby ósemki, nazywane także zębami mądrości, wywołują wiele emocji nie tylko wśród wytrwałych pacjentów dentystycznych, ale także wśród badaczy różnych grup etnicznych. Struktura oraz liczba korzeni tych zębów różnią się w zależności od pochodzenia. Mówiąc o strukturach, warto wspomnieć o tajemniczych kanałach, które potrafią zaskoczyć niejednego stomatologa. Każdy ząb jest jak skarbnica ukrytych informacji, w której można napotkać od jednego do czterech korzeni oraz od jednego do pięciu kanałów. To tak, jakby ubierać cebulę – im więcej warstw, tym bardziej fascynująco!
Ósemki w różnych kulturach – co mówią badania?
Różnice w liczbie korzeni i kanałów w ósemkach potrafią być zaskakujące, zwłaszcza w kontekście badań przeprowadzonych w różnych grupach etnicznych. Przykładowo, w populacjach azjatyckich często obserwuje się mniejszą liczbę zębów mądrości, co można powiązać z genetyką oraz procesami ewolucyjnymi. Kto tak naprawdę wymyślił, że zęby mądrości muszą się pojawiać w każdym przypadku? Z pewnością nie nasi przodkowie, bo wtedy świat wyglądałby zupełnie inaczej, a dentysta nie miałby tylu zawirowań w swoim grafiku. W każdym razie, według danych,
w niektórych kulturach ósemki nazywane są „zębami miłości”
. Kto by pomyślał, że można powiązać związki uczuciowe z bólem w żuchwie?
Nie wszyscy zdają sobie sprawę z tego, że budowa ósemek nie jest jednorodna, a ich struktura potrafi być naprawdę postrzępiona. Nieregularna struktura korzeni w połączeniu z ich krzywizną często wprawia lekarzy w zakłopotanie. Zęby te przypominają tajemniczy labirynt, w którym sąsiadujące elementy mogą się zmieniać jak w dobrym filmie akcji. Dzięki nowoczesnym technologiom, takim jak RTG, możemy lepiej zgłębić tę tajemniczą architekturę, aczkolwiek nawet to nie gwarantuje bezproblemowego leczenia endodontycznego. Cóż, najpierw konieczne jest grzebanie w zębowych zakamarkach, a potem można odetchnąć z ulgą!
Ósemki a styl życia – co mają do powiedzenia statystyki?
Warto również zwrócić uwagę na to, jak styl życia różnych grup etnicznych wpływa na strukturę zębów. Osoby z bardziej zróżnicowaną dietą, bogatą w błonnik, mogą doświadczać mniej problemów z ósemkami, ponieważ ich ząb nie jest narażony na metabolizm oparty na cukrach. Jednakże zęby ósemki potrafią dawać się we znaki niezależnie od diety – od bólu, który prowadzi do frustracji, po konieczność wizyt u dentysty. Czasami zęby mądrości mylą się z zębami rezygnacji, bo dla dentystów stanowią niespodzianki, które zmieniają się z jednym RTG na drugie!
Podsumowując, zęby mądrości mają więcej wspólnego z naszym dziedzictwem genetycznym, niż można by przypuszczać. Odkrywanie ich tajemnic staje się nie tylko medycznym wyzwaniem, lecz także spojrzeniem w głąb historii naszych przodków. Ciekawe jest to, że mimo wszystkich nowoczesnych technologii, ech… zęby mądrości wciąż mają swoje zdanie i potrafią nas zaskakiwać na każdym kroku! Tak oto przedstawiają się ósemki – skarbnice wiedzy, które nigdy nie przestają nas uczyć.
Poniżej przedstawiono niektóre z interesujących różnic w strukturze zębów mądrości w różnych grupach etnicznych:
- Populacje azjatyckie często mają mniejszą liczbę zębów mądrości.
- W niektórych kulturach ósemki nazywane są „zębami miłości”.
- Kultura może wpływać na powstawanie problemów z ósemkami.
Źródła:
- https://novaestetica.pl/poradnik/osemki-zeby-madrosci/
- https://nawrockiclinic.com/ktore-to-zeby-madrosci-i-co-trzeba-o-nich-wiedziec/
- https://www.anident.pl/ile-kanalow-zab.html
- https://dentonet.pl/pacjent/ile-zab-ma-korzeni-a-ile-kanalow/
- https://www.dentilove.pl/blog/korzenie-zebow-a-kanaly-ile-zab-ma-korzeni-a-ile-kanalow?srsltid=AfmBOoqYjgdFOmsA07VF_zhEfl3DjmUW-ac-z6qnPLaUiRvHKK6xac62
- https://stomatologia-kalinowska.pl/zrozumienie-leczenia-endodontycznego-ile-kanalow-ma-zab/
Pytania i odpowiedzi
Jaką rolę odgrywają zęby mądrości w jamie ustnej?
Zęby mądrości, znane jako ósemki, często pojawiają się jako relikty przeszłości w dobie zmiękczonych pokarmów. Mogą być uciążliwe i często wymagają usunięcia z powodu skomplikowanej anatomii, co prowadzi do wielu problemów zdrowotnych.
Ile kanałów ma górna i dolna ósemka?
Górne ósemki mogą mieć od jednego do czterech kanałów, podczas gdy dolne ósemki zazwyczaj mają od dwóch do pięciu kanałów. Zwiększona liczba kanałów przekłada się na większe wyzwania podczas leczenia kanałowego.
Jak wpływa genetyka na budowę zębów ósemek?
Genetyka jest kluczowym czynnikiem determinującym liczbę kanałów oraz korzeni w zębach ósemek. Różnorodność w budowie tych zębów w różnych grupach etnicznych wskazuje na znaczny wpływ dziedziczenia na ich kształt i funkcjonalność.
Jakie problemy mogą wystąpić podczas usuwania ósemek?
Ósemki często mają zakrzywione korzenie, co sprawia, że ich usunięcie bywa skomplikowane i bolesne. Czasami dochodzi do infekcji lub zapaleń, co dodatkowo utrudnia procedury chirurgiczne.
Dlaczego zęby mądrości są czasami nazywane „zębami miłości”?
W niektórych kulturach ósemki określane są jako „zęby miłości”, co może być związane z ich wpływem na relacje międzyludzkie podczas bólu i dyskomfortu, który mogą powodować. Ta humorystyczna nazwa może także nawiązywać do zawirowań związanych z ich pojawieniem się i leczeniem.
